V Jornadas de Ecografía de la semFYC

9 y 10 de febrero de 2024

Comunicaciones: Casos clínicos

Uso de la ecografía en la exploración abdominal en la consulta de Atención Primaria (póster)

Ámbito del caso

Consulta de Atención Primaria.

Motivos de consulta

Distensión abdominal de una semana de evolución.

Historia clínica

Enfoque individual

Mujer de 52 años. Destacan los antecedentes de mioma y quiste ovárico en seguimiento ginecológico.

Consulta por distensión abdominal desde hace una semana acompañada de astenia, sin fiebre ni síndrome miccional, sin pérdida de peso. Niega estreñimiento, sí alguna deposición diarreica al principio del cuadro (última deposición hace 3 días). Había consultado un servicio de urgencias hospitalarias 24 horas antes con la orientación diagnóstica de aerofágia.

A la exploración paciente con buen estado general, a la palpación llama la atención un abdomen distendido, doloroso en hipogastrio y flancos, especialmente el derecho que parece ocupado. Percusión mate que podría corresponder a líquido. Peristaltismo conservado. Puñopercusión lumbar derecha dolorosa.

Hallazgos ecográficos

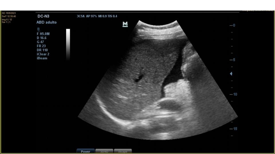
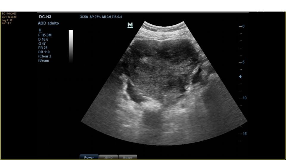
Se realiza ecografía clínica abdominal en el mismo acto para confirmar presencia de líquido y tratar de identificar la ocupación en flanco derecho.

La ecografía confirma la presencia de moderada cantidad de líquido libre abdominal y de una imagen de unos 10 cm de diámetro mayor, anecogénica, tabicada, que parece depender de ovario derecho.

Juicio clínico, diagnóstico diferencial, identificación de problemas

Con la sospecha de masa anexial con ascitis se remite a la paciente a urgencias de ginecología donde se practica ecografía transvaginal que confirma los hallazgos y se cursa analítica con hemograma y pruebas de coagulación que son normales, así como marcadores tumorales que están pendientes al alta.

Evolución

Posteriormente la paciente es valorada por oncoginecología y después de TC abdominal y laparoscopia exploradora con biopsias, se diagnóstica de carcinoma seroso de ovario de alto grado con carcinomatosis peritoneal extensa. Se propone cirugía citoreductora primaria que se realiza con éxito. Actualmente pendiente de iniciar tratamiento con quimioterapia.

Conclusiones (y aplicabilidad para la Medicina de Familia)

El uso de la ecografía en la consulta de Atención Primaria permitió confirmar de manera rápida, asequible y cercana una sospecha diagnóstica grave con una clínica muy inespecífica en una sola visita médica y sin mayores demoras.

 


Comunicaciones y ponencias semFYC: 2025; Comunicaciones: Casos clínicos. ISSN: 2339-9333

Autores

Fusté Salvat, Mireia
Cap Bon Pastor. Barcelona
Galinsoga Jordá, Anna
Cap Bon Pastor. Barcelona
López Expósito, Francisco
Cap Bon Pastor. Barcelona