Comunicaciones: Casos clínicos

Utilidad de la ecografía clínica en la ictericia obstructiva (Póster)

Ámbito del caso (Atención Primaria, servicios de Urgencias o atención domiciliaria)

Consultas de Atención Primaria.

Motivos de consulta

Ictericia.

Historia clínica

Antecedentes personales relevantes, anamnesis, exploración física y lugar que ocupa en ella la ecografía

Paciente mujer de 82 años, con antecedentes de Diabetes, hipercolesterolemia, trastorno adaptativo mixto y Gammapatía monoclonal de cadenas Kappa estable desde 2008. Acude por ictericia de una semana de evolución, acolia en las últimas 48 h y coluria desde el inicio del cuadro con disuria, asocia pérdida de peso de unos 5 kg en el último mes. Niega vómitos. Afebril. Al examen físico se objetiva ictericia, resto anodino. Se realiza ecografía en el Centro de Salud como parte de la exploración integral de un paciente con hallazgos sugestivos de ictericia obstructiva.

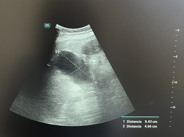
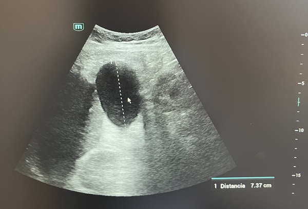
Descripción de los hallazgos ecográficos y las imágenes más relevantes para la resolución del caso

Vesícula biliar ligeramente distendida de 8,5 x 5 cm sin presencia de colelitiasis en su interior; impresionando dilatación de vía biliar intra y extrahepática.

Otras pruebas complementarias realizadas (si existen)

Se realiza AS bilirrubina 7,46 mg/dL, GGT: 935 y FA: 329. Amilasa y lipasa normales. No leucocitosis. PCR: 56,5. Datos de infección de orina con leucocituria y nitritos positivos. Screening Treponémico negativo. Realizan ecografía abdominal confirmando los hallazgos anteriormente descritos, además de esplenomegalia de 12,5 cm y probable trombosis de la vena porta principal. Se ingresa con antibioticoterapia empírica por foco urinario y para completar estudio. TC abdomino-pélvico: tumoración de aspecto infiltrativo en hilio hepático, de 3,3 x 6,3 x 5,6 que infiltra la vena porta y el colédoco, con adenopatías asociadas. Metástasis hepáticas, dudoso implante peritoneal. Nódulo en cuadrante inferointerno de mama izquierda.
Se amplía estudio con ecoendoscopia con dificultad para progresar a través del bulbo debido a compresión extrínseca que ocasiona estenosis coledociana de unos 2 cm de longitud y colédoco distal de calibre disminuido. Se realiza CPRE con esfinterotomía biliar completa y colocación de prótesis. Se biopsia lesión hepática en lóbulo derecho con diagnóstico de colangiocarcinoma. Se amplía estudio de extensión con mamografía compatible con BIRRADS 5 en mama derecha. BAG: carcinoma mamario infiltrante grado 2.

Juicio clínico, diagnóstico diferencial, concordancia con el hospital (en su caso)

Diagnóstico: Colangiocarcinoma. Metástasis hepática y mamaria.
Diagnóstico diferencial: Litiasis vesicular, Cáncer de páncreas, Anemia hemolítica.

Decisiones adoptadas: tratamiento, planes de actuación

Se discute el caso en Comité de Tumores y se decide inicio de Quimioterapia.

Evolución y seguimiento

Seguimiento conjunto por Digestivo y Oncología.

Conclusiones y aplicabilidad para la medicina de familia

En este caso clínico objetivamos cómo, desde Atención Primaria, podemos orientar el diagnóstico de patologías complejas. El uso de la ecografía clínica nos permite detectar hallazgos de gravedad que apoyen la derivación urgente del paciente, para así acortar los tiempos de estudio.


Comunicaciones y ponencias semFYC: 2025; Comunicaciones: Casos clínicos. ISSN: 2339-9333

Autores

Fernández Morales, Frank Raúl
CS Las Calesas. Madrid
Muros Muñoz, Carmen Maria
CS Torito. Madrid
Hidalgo Calleja, Yolanda
CS Torito. Madrid