X Jornadas de Actualización en Medicina de Urgencias y VI Jornadas de Ecografía de la semFYC
6-7-8 de febrero de 2025
Servicio de Urgencias.
Dolor costal izquierdo tras accidente de tráfico.
Enfoque individual: antecedentes personales, anamnesis, exploración, pruebas complementarias, etc.
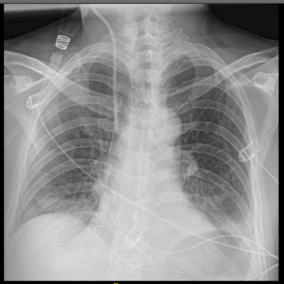
Hombre de 63 años sin antecedentes personales relevantes que consulta por dolor costal en relación con accidente de moto a baja velocidad (20 km/h). Exploración física: Valorado en el servicio de urgencias hospitalario con dolor a punta de dedo en parrilla costal izquierda a nivel de 8º-9º arcos costales anteriores izquierdos, sin deformidad ni volet costal. Hemodinámicamente estable a su llegada con saturación basal de O2 al 98%. Auscultación cardiopulmonar normal y abdomen sin defensa ni signos de irritación peritoneal. Pruebas complementarias: Dado el mecanismo lesional se solicita radiografía de tórax donde se objetivan fracturas costales no desplazadas de 8º-9º-10º arcos costales izquierdos. Se solicita análisis de sangre y se deja en observación para control del dolor.
Juicio clínico, diagnóstico diferencial, identificación de problemas
Rotura esplénica traumática.
Tratamiento y planes de actuación.
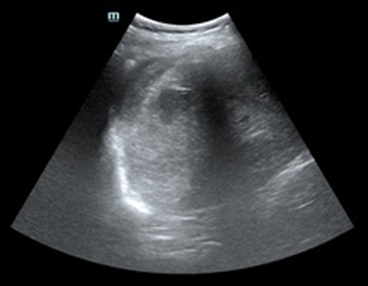
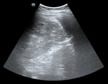
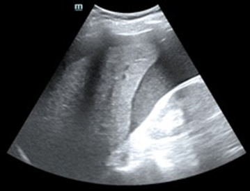
Tras varias horas en observación el paciente comienza con tendencia a la hipotensión. Permanece en observación y monitorización persistiendo hipotensión arterial con buena ventilación bilateral en la auscultación pulmonar. En la exploración abdominal presenta dolor y defensa a la palpación profunda en hipocondrio izquierdo. Se realiza Ecografía clínica a pie de cama del paciente descartando hemoneumotótax y derrame pericárdico; al explorar el abdomen se objetiva líquido libre en espacio de Morrison y eje espleno renal, con imagen compatible con rotura del parénquima esplénico. Gasométricamente se objetiva anemización con caída de cifras de Hb de 15,7 g/dl en análisis inicial a 13,8 g/dl. Se solicitan pruebas cruzadas, se reservan hemoderivados y se contacta con cirugía para traslado del paciente a quirófano.
Evolución
Se traslada a quirófano para esplenectomía urgente.
En el caso de nuestro paciente la ecografía ha sido de vital importancia para el diagnóstico de sus lesiones y la toma de decisiones en el manejo terapéutico. Este caso clínico pone de manifiesto la importancia de la ecografía clínica a pie de cama del paciente en el ámbito de urgencias como complemento a la anamnesis y la exploración física del paciente. Nos permite mejorar y complementar el enfoque diagnóstico así como optimizar la toma de decisiones para el manejo terapéutico.



