V Jornadas de Ecografía de la semFYC

9 y 10 de febrero de 2024

Comunicaciones: Casos clínicos

Utilidad de sonda lineal en dolor abdominal (póster)

Ámbito del caso

 Atención Primaria

Motivos de consulta

Dolor abdominal 

Historia clínica

Enfoque individual

Varón de 35 años que acude a consulta en varias ocasiones (tanto en Urgencias como en Atención Primaria) por dolor abdominal intermitente en flanco derecho de meses de evolución. Extranjero, con importante barrera idiomática. No comenta antecedentes personales de interés. 
Refiere dolor abdominal en flanco derecho de meses de evolución, aparentemente no se relaciona con la ingesta, sin nauseas ni vómitos y con deposiciones normales. Niega síndrome miccional ni otra sintomatología asociada. 
En la exploración física (repetida en varias ocasiones): Buen estado general. Abdomen blando depresible, doloroso a la palpación de flanco derecho, sin palpación de masas ni megalias, sin signos de irritación peritoneal. Puño percusión renal bilateral negativa.

Hallazgos ecográficos

Ecografía en ayunas, con sonda convex donde visualizamos hígado con ecoestructura normal así como vesícula biliar, porta, páncreas y bazo.  Riñones de tamaño dentro de la normalidad y ecoestructura sin hallazgos patológicos, descartándose alteraciones de la vía excretora y pelvis normal. Se visualiza vejiga con paredes homogéneas y ambos jets presentes; con próstata de tamaño normal para su edad.  

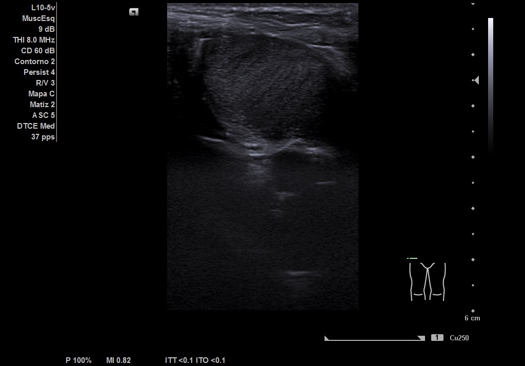
Durante la realización de la prueba, el paciente comenta que en ocasiones no encuentra el testículo derecho. Por lo que decidimos cambiar a la sonda lineal y explorar planos más superficiales donde observamos el testículo derecho, por encima del ligamento inguinal, en fosa ilíaca derecha con ecoestructura normal, homogénea y vascularización normal.

Pruebas complementarias

Analítica de sangre: Hemograma normal, Bioquímica con iones normales, perfil hepático dentro de la normalidad, perfil renal con creatinina de 1.09, Ferritina normal, Factor reumatoide negativo. Orina sin hallazgos patológicos.

Serología: IgG e IgM positivo para Treponema Pallidum.

Juicio clínico, diagnóstico diferencial, identificación de problemas

Teste derecho en ascensor.

Tratamiento y planes de actuación

Se derivó al Servicio de Urología para estudio.

Evolución

Actualmente pendiente de valoración quirúrgica.

Conclusiones (y aplicabilidad para la Medicina de Familia)

Cabe destacar prestar atención, a pesar de la barrera idiomática, a las pequeñas apreciaciones que haga el paciente que en ocasiones pueden ser la clave del proceso. Y como en este caso, la importancia de cambiar el tipo de sonda si la exploración lo requiere durante la misma para completar el estudio y resolver posiblemente el proceso diagnostico.


Comunicaciones y ponencias semFYC: 2025; Comunicaciones: Casos clínicos. ISSN: 2339-9333

Autores

Andujar Martinez - Moratalla, Maria
CS de San Antón. Cartegena
Victoria López, Mar
CS de San Antón. Cartegena
Latorre Rui, Gloria
CS de San Antón. Cartegena